When Do Kids Get Braces?

The Austin orthodontics journey towards a perfect smile is most often paved with traditional metal braces here in Texas like everywhere else. This orthodontic tool has been instrumental in correcting dental imperfections, improving oral health, and boosting self-esteem for millions of individuals worldwide. However, many parents often ask themselves: “What age can kids get braces?” or “What age do kids get braces?”, although some now also look for clear aligners brands such as Invisalign Teen as a treatment option, or even clear braces. Usually, parents think of pediatric dentists when their kids have dental issues and often forget about the orthodontist.
Pediatric dentistry usually focuses more on the tooth itself and their restorative process, and sometimes restorative processes of facial malformations at birth. A pediatric dentist has minimal dental experience in growth and development compared to a dentist, and only sometimes has some experience addressing it with appliance therapy. An orthodontist deeply studies all the growth and development of the face and learns how to subtly detect abnormalities like no other dental specialist. It is a regular question in our orthodontic clinic, when we find a large issue “But we have been going to the dentist or pediatric dentist and nobody ever told us this before! And sadly, sometimes it can be too late before surgery is needed as part of the therapeutic plan.
Understanding Orthodontics and Dentofacial Orthopedics: what age do kids get braces?
Orthodontics is a specialized field of dentistry that’s not just about straightening teeth. It’s also about diagnosing, preventing, and addressing dental and facial abnormalities to improve both function and appearance.
Dentofacial orthopedics is a specialized area within orthodontics which focuses on guiding facial growth and development, particularly in children. It is not a subspecialty of pediatric dentistry. The name of our specialty is “Orthodontics and Dentofacial Orthopedics” because the specialist Dr has to know how the face grows, how muscle imbalances affect the bones and how to intervene to modify it when needed.
These fields cover and treat a broad range of conditions that can warrant early interventions. For instance, habits like tongue thrusting or mouthbreathing can have long-term effects on dentition and jaw appearance. If left untreated, these conditions might require surgical correction later in life to achieve the best smile and recover self confidence.
Understanding Orofacial Myofunctional Disorders and Early Orthodontic Treatment
Orofacial myofunctional disorders (OMDs) encompass a variety of conditions that involve the muscles and functions of the face and mouth. These can include mouth breathing, tongue thrusting and inadequate posturing, and persistent sucking habits of the fingers, lip or objects. The best orthodontists pay close attention to these disorders and treating them is crucial for good health. If left untreated, OMDs can lead to improper muscle function, abnormal swallowing patterns, and even skeletal deformities that if not caught early can only be corrected surgically, with costs often surpassing $20,000, when addressing them early could have reasonable prices.
The Impact of Mouthbreathing
Mouthbreathing is a common issue among children, often resulting from airway restrictions or nasal congestion. However, chronic mouthbreathing can have significant implications for craniofacial development. It can lead to a condition known as “long face syndrome,” characterized by a long, narrow face, a high-arched palate, and an open bite.

Early intervention can help patients address these issues. For instance, myofunctional training, strengthening the hyoid muscles and educating tongue position with exercises, or oral appliance therapy with expanders on tongue trainers can promote optimal tongue function and positioning, reducing symptoms of sleep-disordered breathing and modifying mouthbreathing habits. Our clinic and office is equipped with a CT scan where we can not only detect but measure the benefit of our therapies and detect anatomical abnormalities or discard them, identifying the cause and referring the patient to the proper professional for multidisciplinary treatment plan options, such as an ENT. For instance, we are one of the few offices in Austin tx that offer patients a free CT Scan (3D x rays) as part of our free consultation. ENTs charge up to $800 for those and very few orthodontic offices have them.
Tongue Posture and Thrust: Potential Consequences
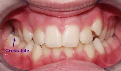
Tongue thrusting refers to pushing the tongue against or between the arches while swallowing, speaking, or at rest. This abnormal tongue function can contribute to dental issues, such as open bites, spacing, anterior crossbites (underbites) and misalignments in different areas of the dentition. Furthermore, improper tongue posture can lead to atypical swallowing patterns and exacerbate orthodontic problems.
Orthopedic interventions can help improve tongue posture and function. Treatment options may include orofacial myofunctional therapy, which aims to establish correct swallowing patterns and proper tongue resting positions.

Finger and Lip Sucking Habits: The Need for Early Intervention and identification by Pediatric Dentistry
Nonnutritive sucking habits, such as finger or pacifier sucking, can significantly influence craniofacial growth7. These habits can result in atypical swallowing, oral breathing, and skeletal changes, including open bites and crossbites.
Early functional orthodontic treatment can help patients manage these bad oral habits and guide proper jaw development7. Pediatric dentistry professionals can also provide patient guidance on habit cessation techniques to prevent long-term dental and skeletal effects.
The Role of Early Orthopedic Intervention in the Dental Office
Early orthopedic intervention plays a crucial role in addressing these issues. By identifying and managing these habits early, healthcare professionals can guide proper craniofacial growth and reduce the need for extensive orthodontic care later in life.
In conclusion, the importance of early orthopedic intervention in managing breathing, tongue posture and thrust, and finger and lip sucking habits cannot be overstated. These habits can have significant effects on craniofacial growth and development, highlighting the need for timely detection and treatment. Most often, the optimal maturity time for treating lack of space issues in my practice is around 9, when their little oral cavity and psyche are a bit more developed to withstand the experience in the chair. But for situations such as underbites and underdeveloped upper jaws and underbites, treatment must be done by 7 years old. Dr Viecilli and the staff of the practice will work with the parents as a team on the psychological aspects of how to best prepare your child for appliance treatment.
The Early Loss of Baby Teeth: A Concern for Parents
One common issue that parents encounter is the early loss of baby teeth in their children. Losing them too soon can lead to space loss in the dental arches and crowding, affecting the alignment of the permanent ones that are yet to come3. This is where early intervention from an orthodontist comes into play. By guiding the growth and development of the jaws, orthodontists can ensure adequate space for the eruption of the permanent dentition and potentially minimize the need for future orthodontic care.
The Role of the Dr Orthodontist in Dental Health Services
Orthodontists are dental specialists who have undergone additional years of rigorous training after dental school. Their training equips them with the expertise to manage complex conditions that general dentists may not be equipped to handle. These conditions include malocclusions (improper bites) and facial irregularities. These are reasons kids should get braces or appliances.
Recognizing the importance of early intervention, to make it clear, the American Association of Orthodontists recommends that every child should have their first check-up with an orthodontist no later than age 7. It is the best age for his early evaluation because it allows for the timely identification of potential issues and the planning of future service, if necessary.
Timing of Orthodontic Care: Not a One-Size-Fits-All Approach
When it comes to the timing of orthodontic care, there’s no one-size-fits-all answer for doctors. The appropriate timing for appliances, traditional braces or clear trays, or even the extraction of a tooth or more in severe cases, varies greatly depending on the individual’s specific needs and the nature of the problem.
Although many times braces are needed after primary treatment to address lack of space for permanent tooth eruption when others inside the bone are at risk of damage, general guideline is that the most suitable time to consider placing ceramic braces or regular brackets is usually the first visit after all primary dentition has been replaced by permanent dentition, which typically happens around ages 10 to 14. By this time, significant growth has occurred, allowing for efficient and effective treatment.
Braces for kids: The Importance of Early Intervention in Orthodontics
While the range of 10 to 14 years old is often ideal for the initiation of comprehensive orthodontic procedures, certain problems may benefit from earlier intervention. Early treatment, also known as Phase I treatment, can help guide jaw growth, correct harmful oral habits, lower the risk of trauma to protruded front dentition, and guide them into a more favorable position.
The Multifaceted Benefits of Orthodontics
Our services serve several critical purposes beyond just straightening crooked teeth here. They can provide solutions for issues such as grinding, jaw alignment, gum health, and injury prevention.
Teeth Grinding and Deep Overlap of the anterior dentition
Teeth grinding, or bruxism, can lead to enamel wear and tear, increased tooth sensitivity, and even fractures in the dentition. Braces can help alleviate this issue by correcting the anterior overlap of teeth that locks the jaw, thus reducing the tendency to grind. One of the perks of Invisalign is that it can help control grinding and bruxing habits by shifting the bite position to the front teeth, triggering a proprioception mechanism that decreases the grinding force. Additionally, it also protects the the dental enamel against wear.
Jaw Alignment
Misalignment of the jaw can cause difficulties in speaking, breathing, and eating. By aligning the dentition and improving the fit of the teeth, orthodontics can enhance jaw function.
The Role of Braces in Gum Health
Straight teeth are easier to clean, reducing the likelihood of plaque build-up and subsequent gum disease. Crowding has been determined to be the number one factor for calculus formation which can contribute to periodontal disease, tooth mobility and loss. Through orthodontic alignment, we can contribute to improved oral hygiene and healthier gums. Here in Austin and in Texas, people have a sweet tooth, so this becomes even more important!
Injury Prevention through Orthodontics
If the dentition is protruding on the front are, they are more prone to injury, especially in individuals engaged in contact sports. Braces can correct this, thereby reducing the risk of traumatic injuries.
When Can Kids Get Braces: A Closer Look
While the ideal age to get braces is usually when most permanent dentition is present, these days it happens around 11 to 12 years old. All permanent dentition should have erupted, with the exception maybe of the second molars, which we normally engage later anyway. Orthodontic consultations should begin much earlier. Taking your child for a consultation at age 7 allows the best Austin tx orthodontist around to monitor their growth and development and intervene at the optimal time for the best possible outcome. A dentist or pediatric dentist may miss many issues, and it’s not their fault, it’s just that orthodontists are specialists in this.
Visiting the Austin Orthodontics Office in Adulthood: It’s Never Too Late!
Braces are not exclusively for children, kids, teens or teenagers. More and more adults are seeking orthodontic services to improve their smiles and oral health. Whether they missed out on braces during childhood or there was shifting of the dentition over time, adults can benefit significantly from orthodontic treatment. before placing implants or restorative procedures.
In some instances, adults with severe jaw discrepancies may require a combination of orthodontic care and orthognathic (jaw) surgery. This combined approach can dramatically improve facial aesthetics and function these patients.
Adjusting to Braces: A Parent’s Role
Parents and even friends play a crucial role in helping their family, dentist and their children adjust to braces. From building excitement about the treatment to teaching good oral hygiene and preparing the family and kids for potential discomfort, parents can provide their family with much-needed support throughout the orthodontic journey as an adventure here in Austin TX.
Building Excitement About Orthodontic Treatment
One way parents can help their children adjust to braces is by building excitement about early orthodontic treatment. You can do this by focusing on the ultimate positive outcomes of it such as a beautiful, healthy smile and harmonized esthetic facial structure.
Teaching Good Oral Hygiene with Braces in Austin
Another crucial role for parents is teaching their children good oral hygiene while wearing braces. This includes showing them how to brush carefully around the brackets and wires to prevent tooth decay and gum disease. In Texas, patients are known to have a sweet tooth. Sometimes Invisalign Teen can be a good option for patients with neurological or anatomical difficulties to brush, as there is a lot less tendency for plaque to accumulate and cause inflammation that can lead to bone loss- an undesirable side effect for the kids and a headache for the Austin Dr.
Preparing for Potential Discomfort from Braces
It’s also important to talk openly with your child about any potential discomfort they may experience while wearing braces. Let them know that they might feel a bit sore after adjustments but reassure them that this discomfort is temporary. Invisalign Teen or some other clear aligner may be an option for compliant kids that are more sensitive to braces discomfort. Retainers are not always needed at the end of early treatment but we always recommend a personalized regimen for their wear after comprehensive orthodontics of the adult dentition is completed.
A Confident Smile at Anytime with a Top Contender for Austin Best Orthodontist!
At Limestone Hill Orthodontics, we believe in the power of a beautiful smile for everyone from 7 to 80 or beyond. Whether you’re considering orthodontic care for your child with brackets or Invisalign, or contemplating braces as an adult here in Austin, our dedicated team is here to guide you every step of the way. With a personalized approach to care with the traditional hospitality known here in Austin TX, we’re committed to helping you achieve the smile of your dreams. If you or your kid are a potential new patient and found us after googling and like what you’ve read, contact our friendly staff in the office today to schedule a consultation that is totally free now, and let’s embark on this journey together!

