TMJ disorders affect the temporomandibular joint, causing pain and dysfunction in the jaw joint and muscles. Common symptoms include jaw discomfort, difficulty chewing, and headaches. Sometimes, but not always, this can be due to problems with the occlusion, or how the teeth contact each other.
The Role of TMJ Mouth Guards
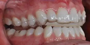
TMJ mouth guards, also known as night guards or stabilization splints, are oral appliances designed to alleviate TMJ symptoms for some cases, and to protect the teeth from grinding and bruxism. Usually, cases that have a problematic occlusion can benefit from using a TMJ mouthguard or nightguard to alleviate TMJ symptoms. Cases without occlusion problems and with neuromotor causes to bruxism or clenching can still benefit from these appliances, on the extent they protect the teeth from grinding, wear and fracturing over time.
Custom Fit vs. Boil and Bite
Upper vs. Lower Jaw Guards
Improving Sleep Quality
Anterior Mouth Guard vs. Full Coverage Mouth Guard for TMJ disorders
Anterior Mouth Guard vs. Full Coverage Mouth Guard for TMJ disorders


An anterior mouth guard leads to less biting force due to proprioception and no firing of the temporalis muscle, promoting immediate alleviation of severe muscle pain from clenching and bruxism, when all medication and neurological causes and botox are ineffective. It is not for continuous use and may lead to diverting occlusal planes so it has to be carefully monitored by an orthodontist.
